МедУнивер - MedUniver.com Все разделы сайта Видео по медицине Книги по медицине Форум консультаций врачей  
Рекомендуем:
Пульмонология:
Пульмонология
Болезни бронхов
Болезни легких
Воспаление в легких
КТ легких
Обследование легких
Туберкулез
УЗИ легких и плевры
Форум
 

Перикардиальная киста на КТ и МРТ

Содержание:
  1. Визуализация
  2. Список использованной литературы

Перикардиальные кисты, называемые также мезотелиальными кистами, — врожденные образования, формирующиеся вследствие аномалий развития соматических полостей. Обычно они одиночные и выстланы одним слоем мезотелиальных клеток, основанием для которых служит слой плотной соединительной ткани.

Самой частой локализацией перикардиальных кист является правый кардиодиафрагмальный угол, за которым следует левый кардиодиафрагмальный угол и затем любая другая локализация в пределах средостения.

а) Визуализация. Перикардиальные кисты обычно обнаруживаются случайно. При КТ они выглядят как четко ограниченные неоднородные, заполненные жидкостью образования с внутренними перегородками.

При МРТ эти кисты характеризуются низкой интенсивностью сигнала в Т1-взвешенных последовательностях и высокой интенсивностью в Т2-взвешенных последовательностях, и обычно не накапливают контраст (рис. ниже).

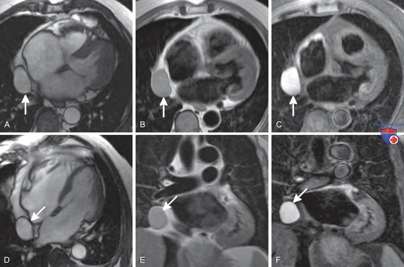
Перикардиальная киста на КТ и МРТ
Перикардиальные кисты с четкими границами и однородной интенсивностью сигнала (стрелки). (А) Аксиальное изображение, полученное в режиме быстрой визуализации с использованием сканирования в стабильном состоянии (FIESTA) в конце диастолы. Высокая интенсивность Т2-/Т1-сигнала, эквивалентная жидкости. (B) Аксиальное Т1-ВИ «черная кровь» быстрое спин-эхо (FSE): промежуточная интенсивность сигнала, связанная с белковым содержимым. (C) Аксиальное Т2-взвешенное изображение «черная кровь» FSE с жироподавлением (тройным): высокая интенсивность Т2/Т1-сигнала, эквивалентная сигналу жидкости. (D) 4К изображение в режиме FIESTA в конце диастолы: высокая интенсивность Т27Т1-сигнала, эквивалентная сигналу жидкости. (E) Фронтальное Т1-взвешенное изображение «черная кровь» FSE: промежуточная интенсивность сигнала, связанная с белковым содержимым. (F) Фронтальное Т2-ВИ «черная кровь» FSE с жироподавлением (тройным): высокая интенсивность Т2-/Т1-сигнала, эквивалентная сигналу жидкости

Перикардиальные кисты с белковым или геморрагическим содержимым могут характеризоваться промежуточной плотностью при КТ и высоким или промежуточным сигналом на Т1-ВИ.

- Также рекомендуем "Мезотелиома перикарда на КТ и МРТ"

Редактор: Искандер Милевски. Дата обновления публикации: 17.11.2025

Медунивер Мы в Telegram Мы в YouTube Мы в VK Форум консультаций врачей Контакты, реклама
Информация на сайте подлежит консультации лечащим врачом и не заменяет очной консультации с ним.
См. подробнее в пользовательском соглашении.