МедУнивер - MedUniver.com Все разделы сайта Видео по медицине Книги по медицине Форум консультаций врачей  
Рекомендуем:
Пульмонология:
Пульмонология
Болезни бронхов
Болезни легких
Воспаление в легких
КТ легких
Обследование легких
Туберкулез
УЗИ легких и плевры
Форум
 

Параганглиома сердца на КТ и МРТ

Параганглиомы — это нейроэндокринные опухоли. В сердце их источником обычно является симпатическая нервная система. Опухоли могут продуцировать катехоламины и проявляться соответствующими симптомами. Иногда эти опухоли являются частью синдромов множественной эндокринной неоплазии и могут сочетаться с аналогичными опухолями других локализаций.

Параганглиомы локализуются преимущественно в эпикарде, в т.ч. в межпредсердной и атриовентрикулярной борозде, или в области корня крупных сосудов и растут интраперикардиально. При генетическом тестировании может обнаруживаться мутация гена сукцинатдегидрогеназы. Естественное течение таких опухолей варьирует: иные из них могут регрессировать, другие остаются стабильными, а некоторые могут увеличиваться.

Опухоли могут захватывать изотоп при сцинтиграфии с метайодбензилгуанидином. При КТ и МРТ они характеризуются ярким контрастным усилением (рис. ниже).

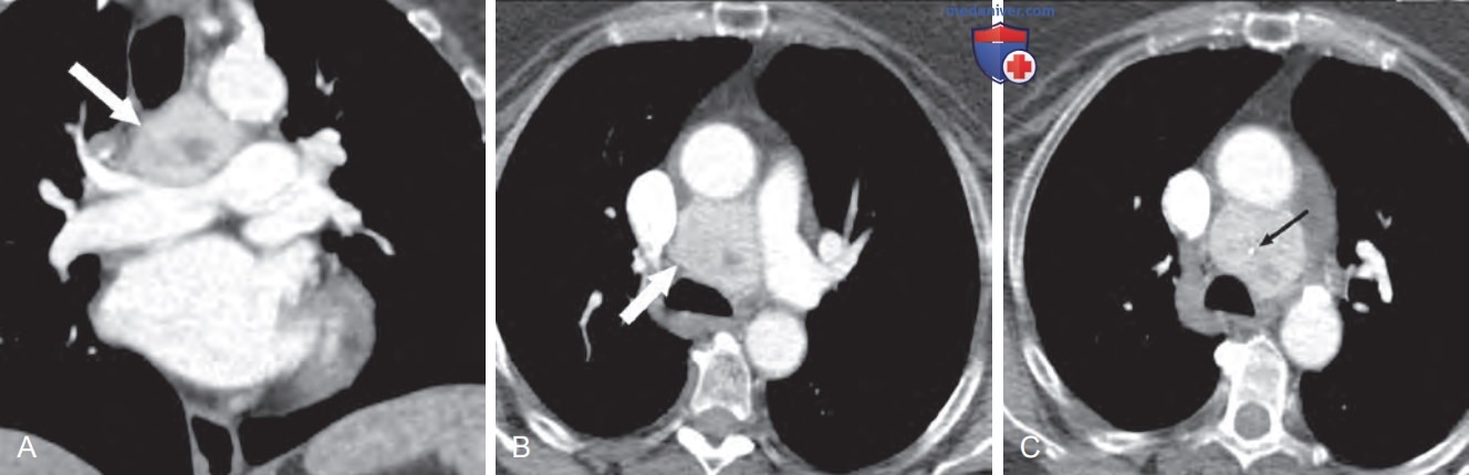
Параганглиома сердца на КТ и МРТ
Фронтальная (А) и аксиальная (B) реконструкции из серии томограмм сердца, на которых видно накапливающее контраст неоднородное образование (белая стрелка) между основанием легочной артерии и аортой — в типичном для параганглиомы месте. (C) На аксиальной реконструкции (срез сделан выше, чем на рисунке B) видна точечная кальцификация в толще опухоли (черная стрелка)

- Также рекомендуем "Папиллярная фиброэластома сердца на КТ и МРТ"

Редактор: Искандер Милевски. Дата обновления публикации: 17.11.2025

Медунивер Мы в Telegram Мы в YouTube Мы в VK Форум консультаций врачей Контакты, реклама
Информация на сайте подлежит консультации лечащим врачом и не заменяет очной консультации с ним.
См. подробнее в пользовательском соглашении.