МедУнивер - MedUniver.com Все разделы сайта Видео по медицине Книги по медицине Форум консультаций врачей  
Рекомендуем:
Пульмонология:
Пульмонология
Болезни бронхов
Болезни легких
Воспаление в легких
КТ легких
Обследование легких
Туберкулез
УЗИ легких и плевры
Форум
 

Инфекции легких после трансплантации костного мозга на рентгенограмме и компьютерной томограмме (КТ)

Содержание:
  1. Период до приживления трансплантата (0-30 дней)
  2. Ранний посттрансплантационный период (31-100 дней)
  3. Поздний посттрансплантационный период (>100 дней)
  4. Трансплантация солидного органа
  5. Список использованной литературы

Инфекции у реципиентов костномозговых стволовых клеток чаще развиваются в определенные периоды после трансплантации и в соответствии с этим делятся на три группы:
1. Период до приживления трансплантата (0-30 дней)
2. Ранний посттрансплантационный период (31-100 дней)
3. Поздний посттрансплантационный период (>100 дней)

а) Период до приживления трансплантата (0-30 дней). Непосредственно после трансплантации, т.е. до момента восстановления гемопоэза, первичным фактором риска развития инфекций является нейтропения.

Бактериальные инфекции в этот период встречаются нечасто благодаря назначению при малейших их признаках эмпирической антибактериальной терапии. Чаще всего в этот период встречаются грибковые инфекции, обычно вызываемые грибами Aspergillus, реже — Candida и Мисог.

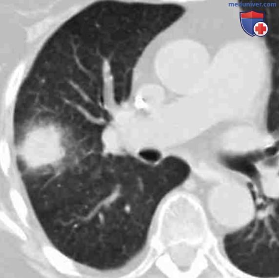
Аспергиллез обычно протекает в ангиоинвазивной форме либо в форме поражения дыхательных путей, манифестируя множественными легочными узелками, нередко окруженными уплотнением типа матового стекла (КТ-симптом гало, см. рис. ниже).

Инфекции легких после трансплантации костного мозга на рентгенограмме и компьютерной томограмме (КТ)
Симптом гало при ангиоинвазивном аспергиллезе. На аксиальной бесконтрастной томограмме в правой верхней доле визуализируется узел, окруженный зоной гало в виде матового стекла. У пациента с фебрильной нейтропенией симптом гало вокруг узловидного образования легкого, скорее всего, является признаком ангиоинвазивного аспергиллеза

б) Ранний посттрансплантационный период (31-100 дней). Наиболее частыми легочными инфекциями в этот период являются аспергиллез, пневмония, вызванная респираторным синцитиальным вирусом (РСВ), и ЦМВ пневмония. Пневмоцистная пневмония встречается редко благодаря широкому распространению профилактики этого заболевания, однако может встречаться у некомплаентных пациентов.

ЦМВ инфекция обычно связана с реактивацией латентного вируса либо с инфузией ЦМВ-положительных препаратов крови или костного мозга при трансплантации.

Примерно у 10% регистрируется синдром идиопатической пневмонии, являющийся диагнозом исключения. Он манифестирует в виде двусторонних диффузных затемнений и дыхательной недостаточности вследствие диффузного альвеолярного повреждения. Важно отметить, что у таких пациентов при бронхоскопии или культуральном исследовании крови не удается выявить каких-либо инфекционных агентов, способных вызывать наблюдаемые изменения.

Годичная выживаемость таких пациентов очень низкая и составляет лишь 15%. Точная причина синдрома неясна. В качестве возможных причин рассматривают болезнь «трансплантат против хозяина» (БТПХ), токсическое действие химиотерапевтических препаратов и недиагностированную инфекцию.

в) Поздний посттрансплантационный период (>100 дней). Частота легочных осложнений в поздний посттрансплантационный период продолжает снижаться благодаря постепенному восстановлению гуморального и клеточного звеньев иммунитета. Примерно у половины всех реципиентов развивается БТПХ, требующая назначения кортикостероидов.

БТПХ сопряжена с повышенным риском инфекционных осложнений, связанных с патологическими изменениями слизистых оболочек, костного мозга и ретикулоэндотелиальной системы. У таких пациентов наиболее высок риск бактериальных инфекций, однако могут развиваться также грибковые (Aspergillus и Mucor) и вирусные (РСВ, опоясывающий лишай, парагрипп, аденовирус) инфекции.

г) Трансплантация солидного органа. В течение первого месяца после трансплантации наиболее частыми являются нозокомиальные инфекции, связанные с пребыванием пациента в стационаре. Обычно они вызываются бактериальными патогенами и, как правило, становятся следствием эндотрахеальной интубации.

Оппортунистические инфекции чаще всего регистрируются в первые шесть месяцев после трансплантации, поскольку именно в этот период пациенты получают максимальные дозы иммуносупрессоров. Частота нокардиальной инфекции у этих пациентов снизилась и не превышает сегодня 2%, что скорее всего связано с широким распространением профилактики ПЦП (рис. 1).

Инфекции легких после трансплантации костного мозга на рентгенограмме и компьютерной томограмме (КТ)
Рисунок 1. Нокардиальная инфекция у реципиента донорской почки. (А) На рентгенограмме органов грудной клетки в задне-передней проекции отмечается консолидация в правой верхней доле (стрелка). (B) На фронтальной бесконтрастной томограмме показано напоминающее опухоль затемнение в правой верхней доле, окруженное зоной уплотнения типа матового стекла (стрелка)

Реактивация туберкулеза в развитых странах также встречается нечасто — в США и Европе заболеваемость туберкулезом среди реципиентов солидных органов составляет 0,5-2%. Наиболее распространенной причиной вирусной пневмонии, которая обычно развивается в первые 1-3 месяца после трансплантации, является ЦМВ (рис. 2). Среди грибковых инфекций преобладает аспергиллез, чаще развивающийся в первые шесть месяцев после трансплантации.

Инфекции легких после трансплантации костного мозга на рентгенограмме и компьютерной томограмме (КТ)
Рисунок 2. Цитомегаловирусная пневмония у реципиента донорской почки. Аксиальная бесконтрастная томограмма: обратите внимание на перибронхиальные участки консолидации и уплотнений типа матового стекла, а также на утолщение бронхиальных стенок

ПЦП благодаря профилактике у этих пациентов встречается редко. Через шесть месяцев после трансплантации наиболее частые инфекции у реципиентов — это инфекции, вызванные дикими штаммами патогенов, обычно бактерий.

- Также рекомендуем "Рак легкого на рентгенограмме и компьютерной томограмме (КТ)"

Редактор: Искандер Милевски. Дата обновления публикации: 4.11.2025

Оглавление темы "Лучевая диагностика болезней органов грудной клетки.":
  1. Инфекция легких с инвазией грудной стенки или диафрагмы на рентгенограмме и компьютерной томограмме (КТ)
  2. Инфекции легких при ВИЧ, СПИД на рентгенограмме и компьютерной томограмме (КТ)
  3. Инфекции легких после трансплантации костного мозга на рентгенограмме и компьютерной томограмме (КТ)
  4. Рак легкого на рентгенограмме и компьютерной томограмме (КТ)
  5. Стадирование рака легкого по рентгенограмме и компьютерной томограмме (КТ)
  6. Гамартома на рентгенограмме и компьютерной томограмме (КТ)
  7. Злокачественные новообразования дыхательных путей на рентгенограмме и компьютерной томограмме (КТ)
  8. Доброкачественные новообразования дыхательных путей на рентгенограмме и компьютерной томограмме (КТ)
  9. Хроническая обструктивная болезнь легких (ХОБЛ) и эмфизема на рентгенограмме и компьютерной томограмме (КТ)
  10. Легочный лангергансоклеточный гистиоцитоз на рентгенограмме и компьютерной томограмме (КТ)
Медунивер Мы в Telegram Мы в YouTube Мы в VK Форум консультаций врачей Контакты, реклама
Информация на сайте подлежит консультации лечащим врачом и не заменяет очной консультации с ним.
См. подробнее в пользовательском соглашении.