МедУнивер - MedUniver.com Все разделы сайта Видео по медицине Книги по медицине Форум консультаций врачей  
Рекомендуем:
Стоматология:
Стоматология
Анатомия полости рта
Детская и подростковая стоматология
КТ, МРТ, УЗИ полости рта и ЧЛХ
КЛКТ, КТ, рентген в имплантологии
Ортодонтия:
Ортодонтия
Высота окклюзии
Мини-имплантаты
Ортопедия:
Высота окклюзии
Протезирование коронками
Протезирование мостовидными протезами
Реставрация передних зубов
Штифтовые культевые конструкции (ШКК)
Пародонтология:
Пародонтология
Пластическая хирургия десны
Трансплантация кости (костная пластика)
Терапевтическая стоматология:
Терапевтическая стоматология
Реставрация передних зубов
Штифтовые культевые конструкции (ШКК)
Эндодонтия (эндодотическое лечение)
Хирургическая стоматология:
Хирургическая стоматология
Имплантология
Пластическая хирургия десны
Трансплантация кости (костная пластика)
Форум
 

Избыток мягких тканей в области протеза при имплантации в области передних зубов

Основное условие ортопедического моделирования мягких тканей - их достаточный объем для этой манипуляции. В противном случае описанный подход неэффективен. Имеющийся объем десны можно сохранить или уменьшить.

Компрессия позволяет изменить форму интерпроксимальных мягких тканей, прежде всего немного увеличить высоту десневого сосочка. С вестибулярной стороны почти всегда можно добиться апикального смещения контура (рис. ниже).

Избыток мягких тканей в области протеза при имплантации в области передних зубов
а. После завершения хирургического лечения отмечается избыток мягких тканей
Избыток мягких тканей в области протеза при имплантации в области передних зубов
b. Несъемная временная коронка с опорой на имплантат
Избыток мягких тканей в области протеза при имплантации в области передних зубов
с. Иссечение избыточного объема мягких тканей
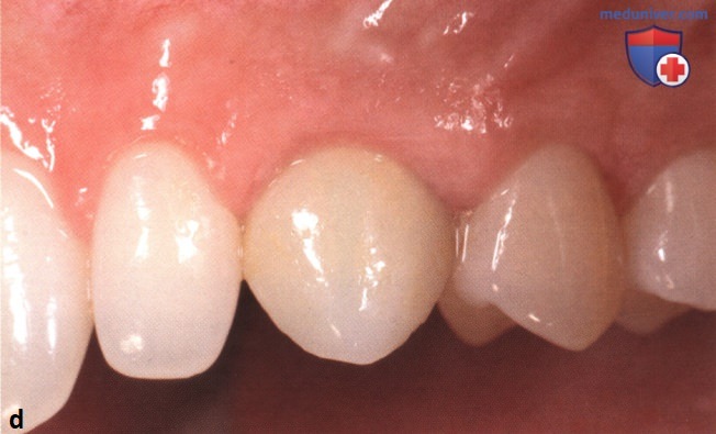
Избыток мягких тканей в области протеза при имплантации в области передних зубов
d. Вид через 6 мес. после фиксации временной реставрации
Избыток мягких тканей в области протеза при имплантации в области передних зубов
е и f. Сравнение контуров мягких тканей до и через 6 мес. после фиксации временной коронки
Избыток мягких тканей в области протеза при имплантации в области передних зубов
g и h. Изготовление металлокерамической коронки
Избыток мягких тканей в области протеза при имплантации в области передних зубов
i и j. Установка окончательной металлокерамической коронки на имплантат в области зуба 23
Избыток мягких тканей в области протеза при имплантации в области передних зубов
k и l. Рентгенограмма и вид через 10 лет после лечения
Избыток мягких тканей в области протеза при имплантации в области передних зубов
m и n. Через 15 лет после лечения отмечается стабильное состояние мягких тканей

При правильном позиционировании имплантата избыточному объему мягких тканей в большинстве случаев удается придать требуемую форму, а результат остается стабильным в течение многих лет.

Напротив, слишком вестибулярное положение имплантата и его избыточный вестибулярный наклон часто приводят к рецессии десны, вне зависимости от типа ортопедической конструкции и объема мягких тканей. В таких случаях никакие ортопедические методы не способны значительно улучшить ситуацию.

- Также рекомендуем "Оптимальные условия для протезирования с опорой на имплантаты в области передних зубов"

Редактор: Искандер Милевски. Дата публикации: 3.3.2026

Оглавление темы "Имплантация в области передних зубов.":
  1. Качественные временные реставрации (протезы) при имплантации в области передних зубов
  2. Установки коронки при имплантации в области передних зубов
  3. Цементная или винтовая фиксация протеза при имплантации в области передних зубов
  4. Показания к составным протезам при имплантации в области передних зубов
  5. Показания к цельным коронкам при имплантации в области передних зубов
  6. Работа с мягкими тканями в области протеза при имплантации в области передних зубов
  7. Избыточное контурирование мягких тканей в области протеза при имплантации в области передних зубов
  8. Избыток мягких тканей в области протеза при имплантации в области передних зубов
  9. Оптимальные условия для протезирования с опорой на имплантаты в области передних зубов
  10. Переход от платформы имплантата к придесневой части реставрации в области передних зубов
Медунивер Мы в Telegram Мы в YouTube Мы в VK Форум консультаций врачей Контакты, реклама
Информация на сайте подлежит консультации лечащим врачом и не заменяет очной консультации с ним.
См. подробнее в пользовательском соглашении.