МедУнивер - MedUniver.com Все разделы сайта Видео по медицине Книги по медицине Форум консультаций врачей  
Рекомендуем:
Лучевая диагностика:
Лучевая диагностика
Пироговские срезы
Видео по лучевой диагностике
УЗИ и ЭхоКГ:
Видео уроки по УЗИ и ЭхоКГ
Форум
 

Пространственное разрешение рентгенограммы при оценке ее качества

Пространственное разрешение соответствует способности визуализирующей системы регистрировать четкие края деталей и различать соседние детали небольшого размера между собой. Резкость определяет то, на сколько пикселей край детали на рентгенограмме будет вдаваться в окружающую зону из-за размытия. Слабое размытие означает, что в окружающую зону вдается меньше пикселей, из-за чего детали будут иметь высокую четкость. К геометрическим факторам, влияющим на размытие, относят размер фокусного поля и расстояние. Наибольшая резкость достигается при помощи небольшого фокусного поля, максимально возможного расстояния «источник-приемник изображения» (РИПИ), как можно меньшего расстояния «объект-приемник изображения» (РОПИ) и при отсутствии движения. В компьютерной рентгенографии наибольшая резкость достигается при выборе кассеты наименьшего размера для ПИ.

Именно размер пикселя цифровой системы определяет минимальный размер детали, которую все еще можно разглядеть, и то, как далеко смежные детали должны находиться друг от друга, чтобы их можно было различить между собой. Термин пространственная частота используется для описания ожидаемого качества пространственного разрешения цифровой системы, достигаемого при фиксированном размере фокусного пятна, РИПИ и РОПИ. Пространственная частота определяется количеством деталей, которые могут быть четко различимы в заданном пространстве (на заданном расстоянии). Этот параметр выражается не размером объекта, а наибольшим числом пар линий на миллиметр (пл/мм), которые можно различить при тестировании системы. По мере улучшения геометрических характеристик за счет использования небольшого фокусного пятна, увеличения РИПИ или уменьшения РОПИ, значение пространственной частоты становится больше, и способность системы распознавать мелкие детали возрастает.

Пространственная частота напрямую связана с размером пикселя. Если расстояние между деталями меньше, чем ширина или высота пикселя, детали различить между собой не удастся. Это обусловлено тем, что каждый пиксель может отобразить только один оттенок серого, позволяя различить только одну деталь, а для формирования пары линий необходимы два пикселя.

Пространственное разрешение:

Пространственное разрешение рентгенограммы при оценке ее качества
Рисунок 1. В компьютерной рентгенографии задан определенный размер системной матрицы, т.е. совокупности пикселей, размещенных в строках и столбцах. Ее размер определяется производителем системы. Больший размер матрицы обеспечит большее количество пикселей. Размер пикселей в матрице определяется размером поля зрения, т.е. области, из которой собираются данные. Поскольку во время обработки ПИ сканируется целиком, размер поля зрения совпадает с размером кассеты (запоминающей пластины). По этой причине размер выбранного ПИ влияет на размер поля зрения, размер пикселя и пространственное разрешение. При матрице 1024х 1024, изображение будет разделено на 1048576 пикселей. Распределение этой матрицы на поле зрения 35x43 см обусловит больший размер пикселя, чем распределение матрицы на поле зрения 20x25 см. Поскольку ПИ размером 20x25 см будет содержать пиксели меньшего размера, он обеспечит более высокое пространственное разрешение.

1. Размер матрицы и пикселя системы:
• Компьютерная рентгенография: следует выбирать ПИ минимально возможного размера (рис. 1). Разрешающая способность системы составляет от 2,55 до 5 пл/мм. Так, при поле зрения 35x43 см она равна приблизительно 3 пл/мм, а при поле зрения 20x25 см — приблизительно 5 пл/мм
• Прямая и непрямая цифровая рентгенография: система характеризуется заданными размерами матрицы и пикселя, которые определяются размером ЭД и расстоянием между несколькими ЭД. Размер пикселя одинаков и не зависит от коллимации. Пространственное разрешение составляет приблизительно 3,7 пл/мм

Пространственное разрешение рентгенограммы при оценке ее качества
Рисунок 2. Размер фокусного пятна. Чем меньше фокусное пятно, тем меньше размытие соседнего пикселя и тем выше пространственное разрешение.
Пространственное разрешение рентгенограммы при оценке ее качества
Рисунок 3. Влияние небольшого (А) и большого (Б) фокусного пятна на детализацию рентгенограммы кисти в ЗП проекции. Сравните трабекулярный рисунок и кортикальный контур. Обратите внимание, как использование небольшого фокусного пятна увеличивает пространственное разрешение.

2. Размер фокусного поля:
• Меньшие размеры фокусного поля обеспечивают более высокое пространственное разрешение (рис. 2 и 3)
• Для исследования конечностей следует использовать небольшое фокусное пятно
• Если изучаемая деталь меньше фокусного пятна, то ее изображение будет полностью размыто и смешается с изображением прилежащих деталей
• Использование небольшого фокусного пятна для визуализации структур возможно только при силе тока 300 мА и менее
• При большой толщине тканей или неспособности пациента сохранять неподвижное положение рекомендуется размер фокусного пятна увеличивать. Это вызвано тем, что в таких случаях требуется более длительная экспозиция ПИ, а при использовании небольшого фокусного пятна движение пациента может помешать получению качественного изображения

Пространственное разрешение рентгенограммы при оценке ее качества
Рисунок 4. Влияние РИПИ на пространственное разрешение. Чем больше РИПИ, тем выше детализация, поскольку лучи, которые проходят по краю детали, располагаются ближе к ЦЛ и падают под меньшим углом к ПИ.
Пространственное разрешение рентгенограммы при оценке ее качества
Рисунок 5. Влияние РОПИ на пространственное разрешение. Чем меньше РОПИ, тем выше пространственное разрешение.
Пространственное разрешение рентгенограммы при оценке ее качества
Рисунок 6. Рентгенограмма правого голеностопного сустава в ПЗ проекции, полученная при большом РОПИ вследствие наличия спице-стержневого аппарата. В нестандартных клинических ситуациях рентгенолог может оказаться не в состоянии установить часть тела как можно ближе к ПИ. Например, в тех случаях, когда пациент не может разогнуть коленный сустав для рентгенографии в ПЗ проекции, или когда пациенту проводится вытяжение, как показано на этой рентгенограмме. В этом случае голеностопный сустав будет располагаться далеко от ПИ, и уменьшить РОПИ будет невозможно. Чтобы предотвратить проекционное увеличение, можно увеличить РИПИ, оставив соотношение между РИПИ и РОПИ неизменным. Проекционное увеличение объекта при РОПИ 2,5 см и РИПИ 100 см будет таким же, как и при РОПИ 10 см и РИПИ 400 см, поскольку сохраняется соотношение 1:40. Однако добиться полной компенсации проекционного увеличения часто не удается, поскольку РИПИ имеет свой предел.

3. РИПИ и РОПИ:
• Чем больше РИПИ, тем пространственное разрешение выше (рис. 4)
• Чем меньше РОПИ, тем пространственное разрешение выше (рис. 5)
• Как правило, РИПИ задается согласно утвержденному в учреждении стандарту, чтобы соответствовать технологической карте и предварительно запрограммированным настройкам, а РОПИ поддерживается на максимально низком уровне
• Чтобы компенсировать проекционное увеличение в тех случаях, когда деталь не может быть помещена на приемлемом РОПИ, можно увеличить РИПИ относительно используемого стандарта. Для одинакового проекционного увеличения необходимо, чтобы соотношение между РОПИ и РИПИ оставалось одинаковым, а поскольку для этого требуется неприемлемое РИПИ, добиться одинакового увеличения удается редко. Если проекционное увеличение является нежелательным, увеличивать РИПИ не рекомендуется
• Если РИПИ увеличивается, чтобы компенсировать размытие при проекционном увеличении, необходимо также увеличить мАс с помощью формулы поддержания экспозиции (рис. 6):
• новое мАс/старое мАс = (новое расстояние)2/(старое расстояние)2. Эта формула используется для определения значения мАс, которое требуется для поддержания необходимой экспозиции ПИ и предотвращения квантового шума

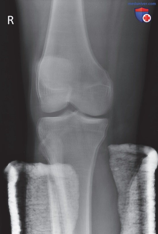
Пространственное разрешение рентгенограммы при оценке ее качества
Рисунок 7. Рентгенограмма правого коленного сустава в косой передне-задней проекции, демонстрирующая произвольное движение пациента.
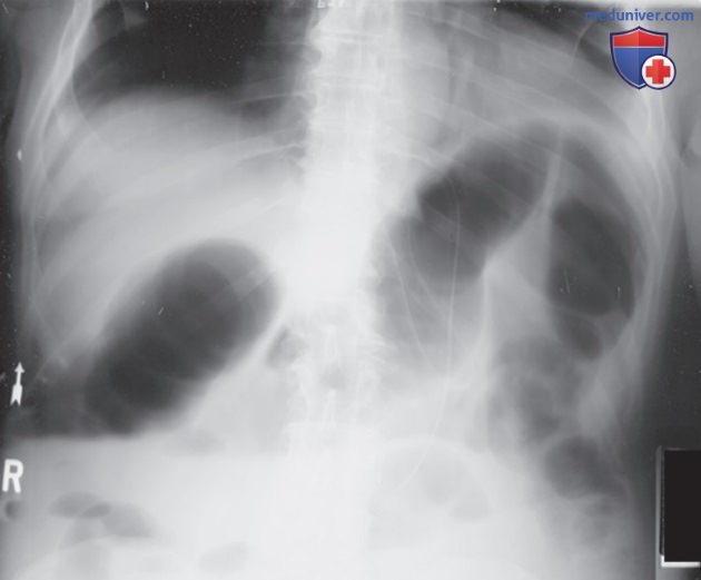
Пространственное разрешение рентгенограммы при оценке ее качества
Рисунок 8. Рентгенограмма органов брюшной полости в передне-задней проекции, демонстрирующая непроизвольное движение пациента.

4. Движение:
• Двигательная нерезкость—размытие деталей, вызванное движением пациента во время экспозиции. Поскольку при движении во время экспозиции изображение детали записывается более чем в одном месте, на рентгенограмме изображение детали распределится сразу по многим пикселям
• Произвольное движение соответствует дыхательному или иному движению пациента, которое он может контролировать. Для предотвращения произвольных движений необходимо объяснять пациенту важность поддержания неподвижного положения, стараться размещать пациента комфортно, использовать максимально короткое время экспозиции, а также и различные приспособления (рис. 7)
• Непроизвольное движение—движение, которое пациент не может контролировать. В большинстве случаев на рентгенограмме оно проявляется так же, как и произвольное движение, за исключением движения желудка и кишечника (рис. 8). При исследовании органов брюшной полости перистальтика желудка и кишечника может быть идентифицирована по четкому кортикальному слою костей и расплывчатому контуру полостей, заполненных газом (см. рис. 69). Единственным способом, позволяющим уменьшить размытие при непроизвольном движении, является использование минимально возможного времени экспозиции
• Такие произвольные движения, как дыхание или дрожание, могут стать непроизвольными (пациент в бессознательном состоянии, тяжело травмированный пациент может не справиться с дрожью)

Пространственное разрешение рентгенограммы при оценке ее качества
Рисунок 9. Рентгенограмма, демонстрирующая двойную экспозицию позвоночника в передне-задней и боковой проекциях.
Пространственное разрешение рентгенограммы при оценке ее качества
Рисунок 10. Рентгенограмма, демонстрирующая двойную экспозицию органов брюшной полости в ПЗ проекции. Желудок и кишечник заполнены бариевой взвесью.

5. Двойная экспозиция:
• В компьютерной рентгенографии изображение с двойной экспозицией можно получить при экспонировании двух проекций на одну и ту же кассету ПИ без проведения обработки между экспозициями. Проекции, экспонированные на ПИ, могут быть совершенно разными, и тогда их легко идентифицировать (рис. 9), либо они могут быть одинаковыми, и тогда будут почти идеально совмещаться (рис. 9). Рентгенограмма при двойной экспозиции в одной и той же проекции обычно выглядит размытой, что можно ошибочно объяснить движением пациента (рис. 10). При оценке размытой рентгенограммы следует обратить внимание на кортикальный контур костей, лежащих продольно и поперечно. Если выявляется одинарный контур, это значит, что пациент сместился во время экспозиции, а если визуализируется двойной контур, это значит, что экспозиция выполнялась дважды, и пациент при второй экспозиции находился в несколько ином положении
• В компьютерной рентгенографии благодаря нормализации изображения его яркость при двойной экспозиции будет адекватной

Сокращения: ПИ — приемник изображения; РИПИ — расстояние «источник-приемник изображения»; РОПИ — расстояние «объект-приемник изображения»; ЦЛ — центральный луч; ЭД — элемент детектора.

- Вернуться в оглавление раздела "Лучевая медицина"

Редактор: Искандер Милевски. Дата публикации: 2.7.2021

Медунивер Мы в Telegram Мы в YouTube Мы в VK Форум консультаций врачей Контакты, реклама
Информация на сайте подлежит консультации лечащим врачом и не заменяет очной консультации с ним.
См. подробнее в пользовательском соглашении.