МедУнивер - MedUniver.com Все разделы сайта Видео по медицине Книги по медицине Форум консультаций врачей  
Рекомендуем:
Лучевая диагностика:
Лучевая диагностика
Пироговские срезы
Видео по лучевой диагностике
УЗИ и ЭхоКГ:
Видео уроки по УЗИ и ЭхоКГ
Форум
 

МРТ доброкачественных опухолей костей и опухолеподобных поражений

Содержание:
  1. Остеоид-остеома
  2. Остеобластома
  3. Энхондрома
  4. Остеохондрома
  5. Хондробластома
  6. Внутрикостная липома
  7. Гемангиома
  8. Гигантоклеточная опухоль
  9. Аневризматическая костная киста
  10. Лангергансоклеточный гистиоцитоз
  11. Список использованной литературы

а) Остеоид-остеома. Остеоид-остеома - это доброкачественная костеобразующая опухоль у подростков и молодых взрослых, которая поражает преимущественно диафизы длинных трубчатых костей, чаще всего бедренной и большеберцовой.

Классическим клиническим симптомом является локальная боль, которая усиливается по ночам и часто облегчается аспирином. Это поражение состоит из хорошо васкуляризованного нидуса (гнезда) менее 1,5 см в диаметре, расположенного в кортикальном слое, иногда в костномозговой полости или поднадкостнично.

Нидус, соответствующий истинной опухоли, окружен периферической зоной реактивного остеосклероза. В нидусе обнаруживается в разной степени выраженное формирование остеоида.

Характерные признаки при МРТ:

- Ткань нидуса обычно изоинтенсивна мышцам на Т1в-изображениях и гиперинтенсивна на Т2в-изображениях. Она интенсивно усиливается после внутривенного контрастирования (рис. 1). Фокусы оссификации, склероз по краю и реактивный гиперостоз выглядят как потеря сигнала во всех ИП. В результате очаг поражения, подвергшийся субтотальной или полной оссификации, может быть трудно обнаруживаемым при МРТ.

МРТ доброкачественных опухолей костей и опухолеподобных поражений
Рисунок 1. а-c Кортикальная остеоид-остеома большеберцовой кости.
а Т1в-SE-изображение в сагиттальной плоскости.
b Т2в-SE-изображение в аксиальной плоскости.
c Т1в-SE-изображение с контрастированием. Нидус диаметром примерно 4 мм (стрелки) виден в заметно утолщенном кортикальном слое диафиза большеберцовой кости. На аксиальном срезе отмечается реактивный отек костного мозга, а также периостальный и параостальный отек мягких тканей, окружающий большеберцовую кость (головки стрелок).

- Типичными признаками являются регионарный отек костного мозга и отек мягких тканей, который может окружать кость (см. рис. 1). Эти признаки могут выявляться при использовании STIR, на Т2в-изображениях со спектральным подавлением сигнала от жировой ткани и на Т1в-изображениях после контрастирования и могут быть ошибочно интерпретированы как проявление злокачественности.

- Интраартикулярные остеоид-остеомы могут вызвать реактивный синовит и выпот в суставе, что напоминает артрит клинически и на диагностических изображениях.

б) Остеобластома. Остеобластома отличается от остеоид-остеомы размерами индуса (>1,5 см в диаметре) и более вариабельной гистологической картиной. Это очень редкая костная опухоль, которая развивается во 2-м или 3-м десятилетии жизни, несколько чаще у мужчин. В отличие от остеоид-остеомы остеобластома предпочтительно поражает плоские кости и задние элементы позвонков.

Боль меньше отвечает на анальгетики. Примерно 10% остеобластом рецидивирует после хирургического удаления, причем рецидивы отличаются большей агрессивностью, чем исходные опухоли.

Характерные признаки при МРТ:

- В зависимости от степени минерализации нидус выглядит как негомогенное образование с низкой или средней интенсивностью сигнала на Т1в-изображениях и от средней до высокой интенсивности - на Т2в-изображениях.

- Подобно остеоид-остеоме при остеобластомах, как правило, обнаруживаются интенсивное контрастное усиление и в той или иной степени выраженный перифокальный отек. Обычно наблюдается менее значительный краевой склероз, чем при остеоид-остеоме.

- Остеобластома имеет тенденцию к вздутию пораженной кости, и часто нидус отграничен только узким гипоинтенсивным кольцом. Это может быть тонкая, вновь образованная надкостницей кортикальная пластинка, или опухоль покрыта одним только некальцифицированным периостом (рис. 2).

МРТ доброкачественных опухолей костей и опухолеподобных поражений
Рисунок 2. Остеобластома L4-позвонка. T1в-SE-изображение в аксиальной плоскости. Определяется патологическое образование размером примерно 2 см, с гетерогенным сигналом, окаймленное гипоинтенсивным кольцом. Поражение вызвало заметное вздутие остистого отростка позвонка (головки стрелок).

- Кистозный компонент опухоли может представлять собой вторичную аневризматическую костную кисту.

в) Энхондрома. Энхондрома - это доброкачественная интрамедуллярная костная опухоль, которая наиболее часто возникает у молодых взрослых (3-4-е десятилетия жизни). От 40 до 65% солитарных энхондром локализуется в костях кистей (проксимальных и средних фалангах пальцев, костях запястья) и примерно 25% -в метафизах длинных трубчатых костей (бедренных, плечевых и большеберцовых).

1. Гистология. Гистологически матрикс энхондромы состоит из гиалинового хряща, имеющего дольчатое строение с рассеянными хондроцитами, окруженными фиброваскулярной стромой, и обычно не обнаруживает инфильтративного роста. Гиперцеллюлярность и легкий атипизм клеточных ядер нередко встречаются при растущих опухолях, которые могут быть неотличимы от хондросаркомы низкой степени (степень 1) без учета визуализационной картины.

2. Клиника. Энхондромы почти всегда бессимптомны и обычно обнаруживаются случайно. Локальная боль должна вызвать подозрение на патологический перелом или озлокачествление. Энхондроматоз (болезнь Олье) характеризуется наличием множественных энхондром с вариабельным распределением в скелете. Он отличается повышенной опасностью малигнизации.

3. Характерные признаки при МРТ:

- Энхондромы имеют типичную рентгенологическую картину и редко оцениваются посредством МРТ.

- Характерными чертами при МРТявляются дольчатые очертания и интенсивность сигнала, более низкая, чем от мышц, или одинаковая с ними на Т1в-изображениях и очень высокая на Т2в- и STIR-изображениях благодаря высокому содержанию воды в матриксе гиалинового хряща (рис. 3). Участки минерализованного матрикса выглядят как потеря сигнала.

МРТ доброкачественных опухолей костей и опухолеподобных поражений
Рисунок 3. a-c Энхондрома проксимального отдела плечевой кости. Отмечается центральное поражение метафиза с дольчатым строением, которое изоинтенсивно мышцам на Т1в-изображениях и гиперинтенсивно на Т2в-изображениях. Точечная потеря сигнала в гиалиновом матриксе отображает очаги кальцификации. На фронтальном изображении после введения Gd видно усиление сигнала по типу колец и дуг, характерное для хорошо дифференцированных хрящевых опухолей.
а Т1в-SE-изображение во фронтальной плоскости.
b Т1в-SE-изображение после контрастирования.
c Т2в-SE-изображение в аксиальной плоскости.

- Специфическим диагностическим признаком является рисунок контрастного усиления в виде колец и дуг преимущественно по периферии опухоли, который обусловлен васкуляризованной стромой, окружающей неусиливающиеся хрящевые дольки (см. рис. 3).

- Так как гиалиновый хрящ имеет относительно высокую интенсивность сигнала на Т1в-изображениях с подавлением сигнала от жировой ткани, характерный рисунок контрастного усиления хорошо дифференцированных хрящеобразующих опухолей иногда трудно распознается при этом типе ИП, особенно в случае мелких поражений. Тем самым, после внутривенного контрастирования должны быть получены по крайней мере в одной плоскости изображения без подавления сигнала от жировой ткани.

- Глубокие эрозии и локальная пенетрация кортикального слоя - главные критерии хорошо дифференцированной хондросаркомы (центральной хондросаркомы с низкой степенью атипизма) - более точно обнаруживаются при КТ.

г) Остеохондрома. Остеохондрома (костно-хрящевой экзостоз) -самая частая костная опухоль, составляющая 10-15% первичных опухолей костей. Это доброкачественное поражение может возникнуть в любой области скелета, которая проходит в эмбриогенезе энхондральную оссификацию, но наиболее часто локализуется в метафизах длинных трубчатых костей.

Основание костной части остеохондромы, которым она прикрепляется к материнской кости, может быть широким или имеет вид ножки. Опа имеет равномерную структуру губчатой кости, покрыта кортикальным слоем и является продолжением соответствующих структур кости, из которой исходит. Остеохондрома покрыта хрящевой «шапочкой», гистологически соответствующей эпифизарной пластинке роста.

1. Клиника. Остеохондромы обычно бессимптомны и, как правило, обнаруживаются случайно у детей и молодых взрослых. Множественные остеохондромы возникают при врожденном заболевании с аутосомным доминантным типом наследования (костно-хрящевые экзостозы). Клинические симптомы могут быть вызваны компрессией мягких тканей, сосудов, нервов или озлокачествлением. Опасность малигнизации при солитарных костно-хрящевых экзостозах примерно 1%, а у пациентов с множественными остеохондромами возрастает до 5-25%.

Так как возникающая из хрящевой шапочки костно-хрящевого экзостоза злокачественная опухоль чаще всего является хондросаркомой низкой степени, гистологический дифференциальный диагноз трудный, как и в случае энхондромы.

2. Характерные признаки при МРТ:

- При МРТ может быть установлен диагноз остеохондромы. Кортикальный слой и костномозговые пространства костной ножки обычно продолжаются в таковые же нормальной подлежащей кости. Характеристики сигнала и контрастного усиления хрящевой шапочки соответствуют хорошо дифференцированным хрящевым опухолям (см. выше описание энхондромы).

- Хрящевая шапочка гиперинтенсивна на Т2в-изображениях и может быть окружена слабо гипоинтенсивным кольцом, отображающим интактный перихондрий (рис. 4).

МРТ доброкачественных опухолей костей и опухолеподобных поражений
Рисунок 4. а, b Остеохондрома подвздошной кости, расположенная на ножке.
а Т1в-SE-изображение во фронтальной плоскости.
b Т2в-БЕ-изображение в аксиальной плоскости.
Отмечается непрерывный переход костномозговых пространств и кортикального слоя подвздошной кости на ножку патологического образования. Хрящевая шапочка имеет максимальную толщину примерно 1 см. Она изоинтенсивна мышцам на Т1 в-изображениях и сильно гиперинтенсивна на Т2в-изображениях. На Т2в-изображениях гиалиновый хрящ отделен от окружающих мягких тканей слабо гипоинтенсивным окаймлением (головки стрелок, b).

3. Показания к МРТ. МРТ имеет меньшее значение для диагноза, который обычно устанавливается по рентгенограммам, чем для выявления осложнений остеохондромы, проявляющихся клиническими симптомами. В свете сказанного, главные показания - выявление спинальных остеохондром, которые воздействуют на спинной мозг и спинномозговые нервы, и определение толщины хрящевой шапочки в случае клинического подозрения на малигнизацию.

МРТ наиболее точный метод определения толщины хрящевой шапочки, так как при КТ имеется тенденция к недооценке толщины. Толщина шапочки более 2 см у взрослых и более 3 см у детей подозрительна на озлокачествление.

д) Хондробластома. Хондробластома - доброкачественная хрящевая опухоль, которая обычно развивается в эпифизах и апофизах длинных трубчатых костей. Она чаще поражает мужчин, возникая почти исключительно в возрасте моложе 30 лет. Гистологически опухоль состоит из относительно богатой клетками ткани с пролиферирующими хондробластами, многоядерными гигантскими клетками и хрящевым межклеточным матриксом.

1. Клиническая картина. Многие пациенты имеют достаточно длительный анамнез с локальной болью, мягкотканной припухлостью, выпотом в суставе и ограничением движений. Рецидивы после биопсии и последующего кюретажа возникают очень редко.

2. Характерные признаки при МРТ:

- В соответствии с гистологической структурой хондробластома часто имеет более гетерогенный вид на MP-изображениях, чем другие доброкачественные хрящевые опухоли.

- В участках с дольчатым хондрогенным матриксом обнаруживается контрастное усиление по периферии долек. Нередко оно сопровождается диффузным усилением мягкотканного компонента.

- Кальцификация матрикса имеется примерно в 50% случаев. Подобно метапластической оссификации и областям репаративного фиброза кальцификация выглядит как потеря сигнала на МРТ.

- Нередко наблюдаются кистозные структуры, в которых могут выявляться уровни жидкости. Они могут возникать в результате очагового некроза или вторичной аневризматической костной кисты (см.), развивающейся примерно в 15% случаев.

- Гипоинтенсивный ободок, который выявляется при всех ИП, указывает на наличие склеротического отграничения.

- В отличие от энхондромы хондробластома сопровождается перифокальным отеком костного мозга. Это реактивное явление (подобно выпоту в суставе, синовиту и отеку окружающих мягких тканей), не свидетельствующее о злокачественности (см. рис. 5).

МРТ доброкачественных опухолей костей и опухолеподобных поражений
Рисунок 5. a-c Хондробластома большеберцовой кости.
а Т1в-SЕ-изображение в сагиттальной плоскости.
b STIR-TSE-изображение.
c Т1в-SЕ-изображение после контрастирования. Определяется дольчатое поражение в эпифизе большеберцовой кости с гетерогенным сигналом, гипоинтенсивным окаймлением и распространенным перифокальным отеком костного мозга. Выраженные реактивные изменения мягких тканей спереди от большеберцовой кости и в заднем отделе полости коленного сустава.

е) Внутрикостная липома. Внутрикостные липомы встречаются редко, составляя 0,1-2,5% всех костных опухолей. Но так как эти опухоли почти всегда бессимптомные и обнаруживаются случайно, их истинная частота, возможно, выше. Они состоят из зрелой жировой ткани и могут быть обнаружены в любом возрасте. Липомы локализуются чаще всего в метафизах длинных трубчатых костей или в пяточных костях.

1. Гистология. Гистологически различают 3 стадии развития:

- 1-я стадия характеризуется наличием зрелых жизнеспособных жировых клеток и фиброваскулярных септ;

- 2-я стадия отличается сочетанием жировых клеток, фокусов некроза и обызвествления;

- в 3-й стадии обнаруживаются распространенный некроз жировой ткани, обызвествления, кистообразование и реактивное образование новой костной ткани.

2. Характерные признаки при МРТ:

- Характеристики MP-сигнала от внутрикостных липом зависят от стадии поражения.

- Жизнеспособные компоненты имеют характеристики сигнала, сходные с подкожным жиром: высокую интенсивность сигнала на Т1в-изображениях, среднюю - на Т2в-изображениях и потерю сигнала при применении ИП STIR или со спектральным подавлением сигнала от жировой ткани.

- Во 2-й и 3-й стадиях обычно имеются центральные фокусы обызвествления, которые выглядят как потеря сигнала при всех ИП. Они могут также содержать кистозные структуры с характеристиками сигнала, эквивалентными воде (рис. 6). Живая жировая ткань, еще сохранившаяся на 3-й стадии опухоли, обычно обнаруживается на периферии поражения.

МРТ доброкачественных опухолей костей и опухолеподобных поражений
Рисунок 6. а, b Внутрикостная липома пяточной кости (2-я стадия).
а Т1в-SE-изображение в сагиттальной плоскости.
b Т2в-SE-изображение.
Фокус поражения изоинтенсивен жировой ткани и окружен тонким гипоинтенсивным кольцом.
В центре липомы видны участок кальцификации и мелкие кистозные полости.

- Если обычные рентгенограммы неинформативны, МРТ может обеспечить надежное распознавание внутрикостных липом, устраняя необходимость биопсии.

ж) Гемангиома. Гемангиома представляет собой доброкачественное сосудистое поражение костей, которое наиболее часто обнаруживается у взрослых в молодом и среднем возрасте*.

P.S. * Гемангиомы костей представляют собой гетерогенную группу с различной тенденцией к истинно опухолевой сосудистой пролиферации. При самой частой локализации в позвонках подавляющее большинство гемангиом -это липогемангиомы, не имеющие тенденции к росту и клинического значения. Такие гемангиомы преобладают у женщин пожилого возраста. Типичные локализации - тела позвонков, череп и плоские кости. Реже гемангиомы поражают длинные трубчатые кости.

1. Клиническая картина. Большинство внутрикостных гемангиом бессимптомны и обнаруживаются случайно. В редких случаях, особенно при поражениях тел позвонков, наблюдаются боль, патологические переломы и неврологические симптомы. Гемангиомы с клиническими проявлениями могут быть не полностью внутрикостными и часто имеют экстраоссальный компонент.

2. Гистология. Различают три гистологических типа гемангиом:
- капиллярные;
- кавернозные;
- венозные.

Помимо сосудистой пролиферации, во многих гемангиомах также содержится вариабельный липоматозный компонент в виде жирового матрикса. Эти опухоли называют также гемангиолипомами или липогемангиомами в зависимости от доминирующего тканевого компонента. Соответствующие вариации отображаются в MP-картине внутрикостных гемангиом.

3. Характерные признаки при МРТ:

- Богатые жиром гемангиомы имеют высокую или среднюю интенсивность сигнала на Т1в-изображениях, интенсивность от средней до высокой на Т2в-изображениях и потерю сигнала при использовании STIR и других ИП с подавлением сигнала от жировой ткани (см. рис. 7).

МРТ доброкачественных опухолей костей и опухолеподобных поражений
Рисунок 7. a-c Гемангиома позвонка.
а, b Т1в-SE-изображения в аксиальной (а) и сагиттальной (b) плоскостях. Типичная картина гемангиомы позвонка с жировым матриксом. Точечные очаги потери сигнала в гиперинтенсивной ткани на аксиальных срезах представляют поперечные сечения утолщенных остаточных вертикальных трабекул. В теле расположенного выше позвонка видна гемангиома меньших размеров.
c STIR-изображение в сагиттальной плоскости показывает значительную потерю сигнала гемангиомы.

- Преимущественно сосудистые поражения изоинтенсивны мышцам на Т1в-изображениях и крайне гиперинтенсивны - на Т2в- и STIR-изображениях («атипичные» гемангиомы - рис. 8).

МРТ доброкачественных опухолей костей и опухолеподобных поражений
Рисунок 8. a-c «Атипичная» гемангиома S1-позвонка.
а Т1в-TSE-изображение в сагиттальной плоскости.
b Т2в-ТSЕ-изображение в сагиттальной плоскости.
c STIR-TSE-изображение в сагиттальной плоскости.
Видно поражение I крестцового позвонка, распространяющееся на заднюю продольную связку и переходящее на задневерхний край тела S2-позвонка. Поражение гипоинтенсивное на Т1в-изображениях и сильно гиперинтенсивное на Т2в- и STIR-изображениях. На Т2в-изображениях неотчетливо различимы остаточные вертикальные трабекулы.

- При поражениях обоих типов обнаруживается более или менее выраженное контрастное усиление. Это усиление при гемангиомах и липоге-мангиомах наиболее заметно на изображениях с подавлением сигнала от жировой ткани или субтракционных изображениях после введения Gd-содержащих контрастных средств.

- Остаточные трабекулы губчатого вещества, подвергшиеся реактивному утолщению, обусловливают на аксиальных срезах рисунок «в горошек», аналогичный рисунку на КТ-срезах, за счет округлых очагов потери сигнала (см. рис. 7).

- МРТ при гемангиомах тел позвонков может предоставлять полезную прогностическую информацию, так как нестабильность позвоночника и внекостное распространение с опасностью неврологических осложнений более вероятны при поражениях с преобладающим сосудистым компонентом.

з) Гигантоклеточная опухоль. Гигантоклеточная опухоль скелета (остеокластома*) является агрессивным полузлокачественным костным поражением, которое очень склонно к локальным рецидивам.

P.S. * В отечественной литературе эту опухоль часто называют остеобластокластомой.

Она возникает исключительно в зрелом скелете (после заращения эпифизарных пластинок роста), как правило, в возрасте от 20 до 40 лет и чаще поражает женщин, чем мужчин, в отношении 3:2. Предпочтительно поражаются эпифизы длинных трубчатых костей. Примерно 50% гигантоклеточных опухолей возникает в области коленных суставов. Менее частыми локализациями являются короткие трубчатые кости кистей и стоп, таз и тела позвонков.

1. Гистология. При гистологическом исследовании обычно обнаруживается гиперцеллюлярная, богато васкуляризованная ткань, состоящая из веретенообразных или овальных клеток и множественных гигантских клеток, напоминающих остеокласты. Первично злокачественные или вторично озлокачествленные гигантоклеточные опухоли встречаются нечасто, и, как правило, клиническое течение каждого конкретного поражения не может быть предсказано даже при доброкачественной гистологической картине.

2. Характерные признаки при МРТ:

- Благодаря возможности многоплоскостной визуализации МРТ является лучшим методом определения распространенности опухоли. Пенетрация кортикального слоя с внекостным компонентом опухоли и распространением на сустав встречается нередко и обеспечивает важную информацию для планирования лечения.

- Внутрикостная опухоль обычно имеет четкие контуры на границе с неизмененной костью и часто окружена гипоинтенсивным ободком. Характеристики сигнала от опухоли могут быть неспецифическими: изоинтенсивный мышцам сигнал на Т1в-изображениях и гиперинтенсивный - на Т2в-изображениях.
Однако вследствие высокого содержания коллагена и (или) гемосидерина многие гигантоклеточные опухоли гипоинтенсивны при всех ИП (см. рис. 9). Эффект гемосидерина может быть подчеркнутым на Т2*в-изображениях, что суживает круг дифференциальной диагностики.

МРТ доброкачественных опухолей костей и опухолеподобных поражений
Рисунок 9. a-c Гигантоклеточная опухоль проксимального суставного конца большеберцовой кости.
а Т1в-SЕ-изображение во фронтальной плоскости.
b Т2в-ТSЕ-изображение во фронтальной плоскости.
c Т1 B-SE-изображение после контрастирования.
Визуализирована опухоль проксимального конца большеберцовой кости с гетерогенной интенсивностью сигнала при всех ИП. Поражение распространяется до субхондральной костной пластинки, пенетрирует кортикальный слой по медиальной поверхности и имеет небольшой экстраоссальный компонент. Распространенные отложения гемосидерина объясняют очень низкую интенсивность Т2в-сигнала от опухолевой ткани.

- Кистозные области, содержащие продукты распада крови или уровни жидкости, могут развиться в результате очаговых кровоизлияний, некроза или образования вторичных аневризматических костных кист. Солидные тканевые компоненты, как правило, заметно усиливаются при контрастировании.

- МРТ представляет собой важный метод раннего распознавания локальных рецидивов после кюретажа или неполной резекции опухоли с заполнением образовавшейся полости костным цементом или трансплантацией губчатой кости.

МРТ является лучшим методом определения распространенности гигантоклеточной опухоли и полезна для раннего выявления местных рецидивов.

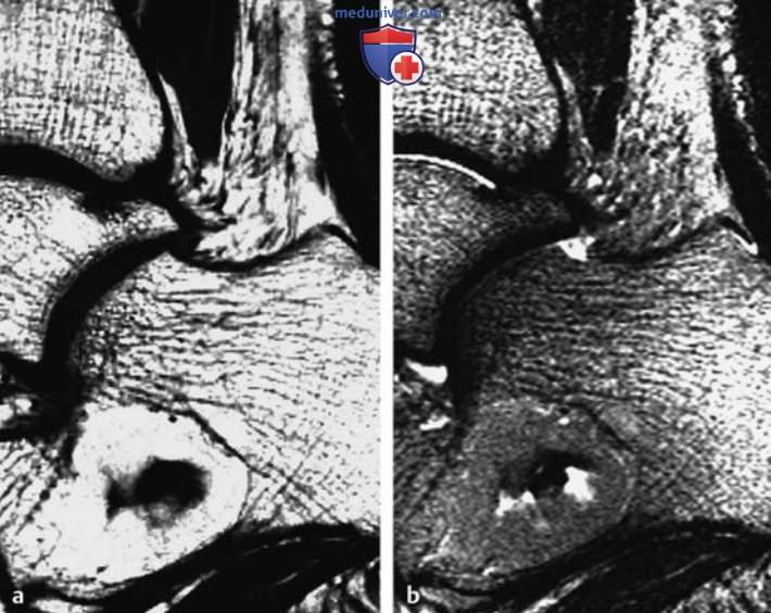
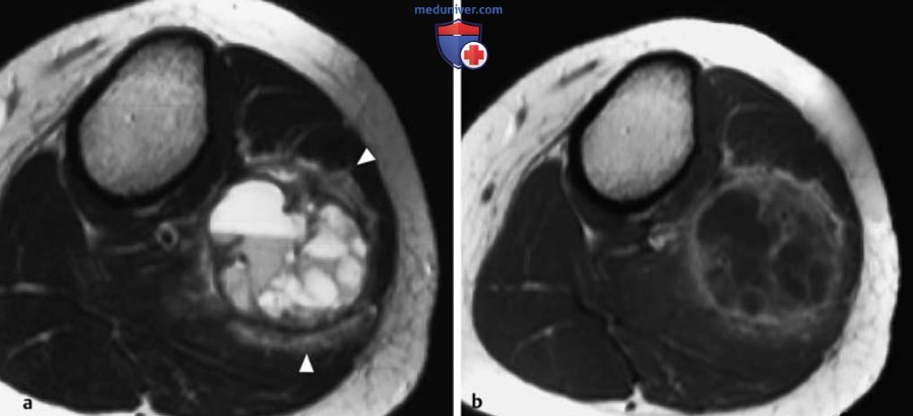
и) Аневризматическая костная киста. Аневризматическая костная киста (АКК) -редкое опухолеподобное поражение костей, этиология которого неизвестна. Она может развиться первично или быть вторичной к предсуществующим поражениям костей (например, гигантоклеточной опухоли, остеобластоме, хондробластоме). К первичным относятся примерно 2/3 случаев АКК. Эта форма наиболее часто встречается в возрасте до 30 лет, несколько чаще у женщин.

АКК - поражение с экспансивным ростом, чаще всего локализующееся в метафизах длинных трубчатых костей или задних элементах позвонков, хотя может поражать любую кость.

1. Гистология. АКК состоят из сообщающихся заполненных кровью полостей, а в их фиброзных стенках содержатся многоядерные гигантские клетки, отложения гемосидерина, реактивный остеоид и расширенные капилляры.

2. Клиническая картина. Клинические проявления АКК неспецифичны. К наиболее частым симптомам относятся локальная боль, пальпируемая опухоль и ограничение движений в прилежащем суставе. Примерно в 50% случаев поражения позвоночника вызывают неврологические симптомы, обусловленные компрессией спинного мозга и нервных корешков. Частота рецидивов после кюретажа колеблется от 19 до 44%, 90% рецидивов происходит в первые 2 года после операции.

3. Характерные признаки при МРТ:

• При МРТ обычно обнаруживается многокамерная кистозная полость с внутренними перегородками, которая часто окружена гипоинтенсивным ободком.

• Примерно 2/3 кист демонстрируют уровни жидкости, которые обусловлены седиментацией форменных элементов несвернувшейся крови и наиболее часто выявляются на Т2в-изображениях. Стенки кисты могут образовывать маленькие дивертикулоподобные выпячивания и почти всегда усиливаются после контрастирования (рис. 10).

МРТ доброкачественных опухолей костей и опухолеподобных поражений
Рисунок 10. а, b Аневризматическая костная киста проксимального отдела малоберцовой кости.
а Т2в-SЕ-изображение в аксиальной плоскости.
b Т1в-SЕ-изображение после контрастирования.
Определяется кистозное поражение с экспансивным ростом, множественными септами, уровнями жидкости и гипоинтенсивным окаймлением на Т2в-изображениях. Отмечается интенсивное усиление сигнала от стенки кисты на Т1в-изображениях после контрастирования. Заметьте отек окружающей мышечной ткани (головки стрелок) и значительное вздутие кости.

4. Диагноз. МРТ может обеспечить более достоверный диагноз поражений с неопределенными или подозрительными изменениями, выявленными на рентгенограммах (примерно 40% случаев).

Выявление солидных элементов вместе с кистозным компонентом не обязательно опровергает диагноз первичной АКК, но требует дифференцирования от телеангиэктатической остеосаркомы и вторичной АКК. МРТ в таких случаях может помочь планированию биопсии мягкотканного компонента, которая является основным средством дифференциальной диагностики. Отек окружающих мягких тканей особенно часто наблюдается при крупных АКК или АКК, располагающихся на поверхности костей, и не должен рассматриваться как доказательство злокачественности.

Как и при гигантоклеточной опухоли, МРТ представляет собой важное дополнение рентгенографии при раннем выявлении послеоперационных рецидивов.

к) Лангергансоклеточный гистиоцитоз. Солитарное костное поражение (эозинофильная гранулема) представляет собой наиболее частое проявление лангергансоклеточного гистиоцитоза (прежнее название гистиоцитоз X), встречающееся в 60-80% случаев и поражающее главным образом детей в возрасте 5-10 лет. Менее часто при этом заболевании наблюдаются множественные поражения костей.

Только менее чем у 20% пациентов, у которых вначале имеется солитарный очаг, позднее возникают дополнительные поражения с другими локализациями в скелете. Предпочтительно поражаются кости свода черепа, бедренные кости, тела позвонков, кости таза и ребра. В других областях скелета гистиоцитоз наблюдается редко.

1. Клиническая картина и гистология. Поражение костей может вызывать клинические симптомы: локальную боль и припухлость, но маленькие очаги могут быть бессимптомными. При гистологическом исследовании обнаруживаются типичные скопления клеток Лангерганса (гистиоциты) вместе с различным количеством эозинофильных гранулоцитов, лимфоцитов и нейтрофильных гранулоцитов.

2. Характерные признаки при МРТ:

- При МРТ выявляется очаг поражения овальной формы, обычно расположенный центрально в костномозговой полости пораженной кости и окруженный отеком костного мозга, который может иметь широкое распространение. MP-сигнал от очага изоинтенсивный мышцам на Т1в-изображениях и гиперинтенсивный - на Т2в-изображениях. При локализации в длинных трубчатых костях особенно вероятна значительная периостальная реакция с отеком мягких тканей, окружающим пораженную кость.

- Обнаруживается интенсивное контрастное усиление как самого очага поражения, так и реактивно измененных окружающих тканей (рис. 11).

МРТ доброкачественных опухолей костей и опухолеподобных поражений
Рисунок 11. a-c Эозинофильная гранулема большеберцовой кости.
а Т1в-SЕ-изображение во фронтальной плоскости.
b Т1в-SE-изображение после контрастирования.
c Т2в-SЕ-изображение в аксиальной плоскости.
Обнаружено медуллярное поражение средней трети диафиза с перифокальным отеком костного мозга и отеком окружающих мягких тканей. Отмечаются заметное усиление сигнала в фокусе поражения после контрастирования, а также линейное усиление по ходу поверхности кости, обусловленное периостальной реакцией.

3. Дифференциальный диагноз и определение стадии. MPT-картина неспецифична и не позволяет исключить остеомиелит, остеобластому и саркому Юинга. Лечение поражений скелета (локальная терапия или химиотерапия) критически зависит от их распространенности. Остеосцинтиграфия относительно малочувствительна в выявлении распространенности, так как поражения чисто деструктивные. Вместо нее нужно использовать МРТ всего тела с использованием T1b-ИП или STIR.

Остеосцинтиграфия относительно нечувствительна при предшествующем лечению определении стадии лангергансоклеточного гистиоцитоза. С этой целью лучше выполнять МРТ всего тела.

- Вернуться в оглавление раздела "Лучевая медицина"

Редактор: Искандер Милевски. Дата публикации: 4.2.2026

Медунивер Мы в Telegram Мы в YouTube Мы в VK Форум консультаций врачей Контакты, реклама
Информация на сайте подлежит консультации лечащим врачом и не заменяет очной консультации с ним.
См. подробнее в пользовательском соглашении.